Parteneri
Fațetele dentare. De la planificare la execuție în era digitală
Workshop intensiv de 2 zile dedicat fațetelor dentare.
Workshop intensiv de 2 zile dedicat fațetelor dentare, care te ghidează pas cu pas de la selecția cazului și planificarea tratamentului, până la preparare, provizorii și integrarea fluxului digital în practica zilnică.
Un curs construit pentru medici care vor să înțeleagă de ce și cum se face fiecare etapă, astfel încât rezultatul final să fie predictibil, estetic și funcțional.
Scopul și promisiunea pentru participant:
Scopul acestui curs este să îți ofere claritate și control în tratamentele cu fațete dentare, indiferent dacă lucrezi analogic, digital sau într-un flux mixt.
După acest curs, vei ști cum să selectezi corect cazurile, cum să planifici tratamentul fără compromisuri, cum să execuți preparările în mod ghidat și predictibil și nu în ultimul rând cum să integrezi tehnologia digitală fără să pierzi controlul clinic.
Diferența reală: vei putea livra rezultate estetice stabile, funcționale și ușor de justificat în fața pacientului.
- 24-25 aprilie
- 1100€+ TVA
- Cursul se desfășoară în locația fizică Dental Simulation, Nicolae Caramfil Avenue, nr. 74A, București – Dental Simulation
- Se oferă certificat de participare
- Masa de prânz inclusă
- 2 zile
- Curs susținut de Dr. Ionuț Brânzan, Medic stomatolog, cu practică axată pe estetică dentară și restaurări protetice cu sprijin dentar și implantar
Ce vei învăța?
Curs practic de fațete directe din compozit în zona frontală
Curs practic de fațete dentare, de la planificare la execuție în era digitală
În estetica dentară, un caz de fațete tratat fără planificare corectă sau cu preparații necontrolate poate compromite atât estetica, cât și funcționalitatea, chiar dacă indicația inițială a fost corectă.
Acest curs îți oferă o abordare completă și coerentă a tratamentului cu fațete dentare: de la selecția cazurilor și planificarea tratamentului, până la preparare ghidată, provizorii și integrarea fluxului digital. Fie că lucrezi analogic, digital sau într-un flux mixt, vei învăța cum să obții rezultate predictibile, stabile și reproductibile.
La finalul celor două zile, vei stăpâni cele trei componente esențiale care îți cresc controlul clinic și te diferențiază ca profesionist:
Planificare estetică și selecția corectă a cazurilor
Vei învăța să analizezi corect indicația pentru fațete dentare, să planifici tratamentul pas cu pas și să folosești wax-up și mock-up ca instrumente de diagnostic și comunicare. De la alegerea tipului de material ceramic, până la definirea spațiului restaurativ și a formei finale, vei avea un plan clar și argumentat clinic.
Preparații ghidate și integrarea fluxului digital
Vei exersa diferite tipuri de preparații pentru fațete dentare în zona frontală, folosind chei de silicon și metode de control al reducerii. Vei învăța diferențele dintre abordarea analogică și cea digitală, cum să scanezi corect preparațiile și cum să eviți erorile frecvente care duc la ajustări inutile sau complicații. Totul explicat clar, aplicat și ușor de reprodus în cabinet.
Provizorii, ajustări ocluzale și controlul rezultatului final
Un caz reușit nu se oprește la preparare. Vei învăța să realizezi provizorii funcționale și estetice, să gestionezi ajustările ocluzale și să recunoști din timp posibilele complicații. Accentul este pus pe controlul rezultatului final, stabilitate pe termen lung și integrarea esteticii cu funcția, esențiale pentru succesul tratamentului cu fațete.
- 24-25 aprilie
- EXCLUSIV Dental Simulation
- 1100€+ TVA
Fațetele dentare nu sunt doar o soluție estetică, sunt un tratament clinic complet
- Cum planifici un tratament care să fie corect încă de la început, fără ajustări inutile?
- Cum alegi indicația potrivită pentru fațete și eviți supra-prepararea sau compromisurile funcționale?
- În practica de zi cu zi, fațetele îți oferă un control estetic excelent, dar doar dacă stăpânești planificarea, prepararea și execuția fiecărui pas.
- Aplicate corect, fațetele dentare devin un instrument de comunicare clară cu pacientul și o garanție a încrederii în planul de tratament.
- Rezultatul? Estetică naturală, funcție stabilă și tratamente care se susțin pe termen lung.
Tratamentele cu fațete dentare bine planificate și corect executate nu doar rezolvă un caz, ci cresc vizibil nivelul perceput al actului medical și devin cartea ta de vizită
Este un curs construit pentru practica reală, cu soluții aplicabile imediat. Prin acest curs, vei învăța:
- Să selectezi corect cazurile pentru fațete dentare și să construiești un plan de tratament clar, logic și argumentat clinic
- Să realizezi preparații ghidate, controlate, adaptate fiecărui caz, fără supra-preparare sau compromisuri funcționale
- Să integrezi fluxul digital în tratamentele cu fațete, de la wax-up și mock-up până la scanare și provizorii
- Să obții rezultate estetice stabile, funcționale și ușor de întreținut în timp, chiar și în cazuri complexe
- 24-25 aprilie
- EXCLUSIV Dental Simulation
- 1100€+ TVA
Curs susținut de Dr. Ionuț Brânzan, lector internațional în estetică dentară și restaurări protetice, cu experiență clinică și educațională extinsă
1. Două zile de învățare structurată și aplicat
Pe parcursul celor două zile participi la un program complet, conceput pentru a acoperi întregul flux de tratament cu fațete dentare:
- Sesiuni teoretice bine organizate, de la selecția cazurilor și planificare, până la execuție și managementul complicațiilor
- Demonstrații clare pentru diferite tipuri de fațete și situații clinice
- Hands-on practic pe preparații ghidate, transfer de wax-up și realizarea provizoriilor
- Integrarea fluxului analogic și digital, explicată pas cu pas
2. Ghidare directă de la expert
- Vei lucra direct cu Dr. Brânzan, formator cu experiență internațională și practician activ în estetica dentară
- Vei avea acces la explicații logice, decizii clinice argumentate și protocoale validate
- Fiecare etapă este explicată în context real, astfel încât să înțelegi nu doar cum, ci și de ce se aplică
3. Rezultate aplicabile imediat în cabinet
După curs, vei putea:
- Planifica și realiza tratamente cu fațete dentare corect indicate și predictibile
- Executa preparații ghidate, controlate și reproductibile
- Integra fluxul digital (wax-up, mock-up, scanare) fără a pierde controlul clinic
- Gestiona ajustările ocluzale, provizoriile și eventualele complicații
Agenda evenimentului
Programul pentru cele două zile este structurat astfel încât să poți aprofunda atât noțiunile fundamentale, cât și etapele avansate ale tratamentului cu fațete dentare, într-un format echilibrat care îmbină teoria cu practica clinică.
Ziua 1 - Teorie
O zi dedicată înțelegerii complete a fluxului de tratament cu fațete dentare, de la selecția cazurilor și planificarea estetică, până la prepararea corectă și integrarea fluxului digital. Vei învăța cum să construiești tratamente predictibile, cu indicații clare și execuție controlată.
Subiecte abordate:
- Selecția cazurilor pentru fațete dentare și stabilirea indicației corecte
- Planificarea tratamentului: analiză estetică, funcțională și ocluzală
- Wax-up și mock-up ca instrumente de diagnostic și comunicare
- Tipuri de materiale ceramice și criterii de selecție
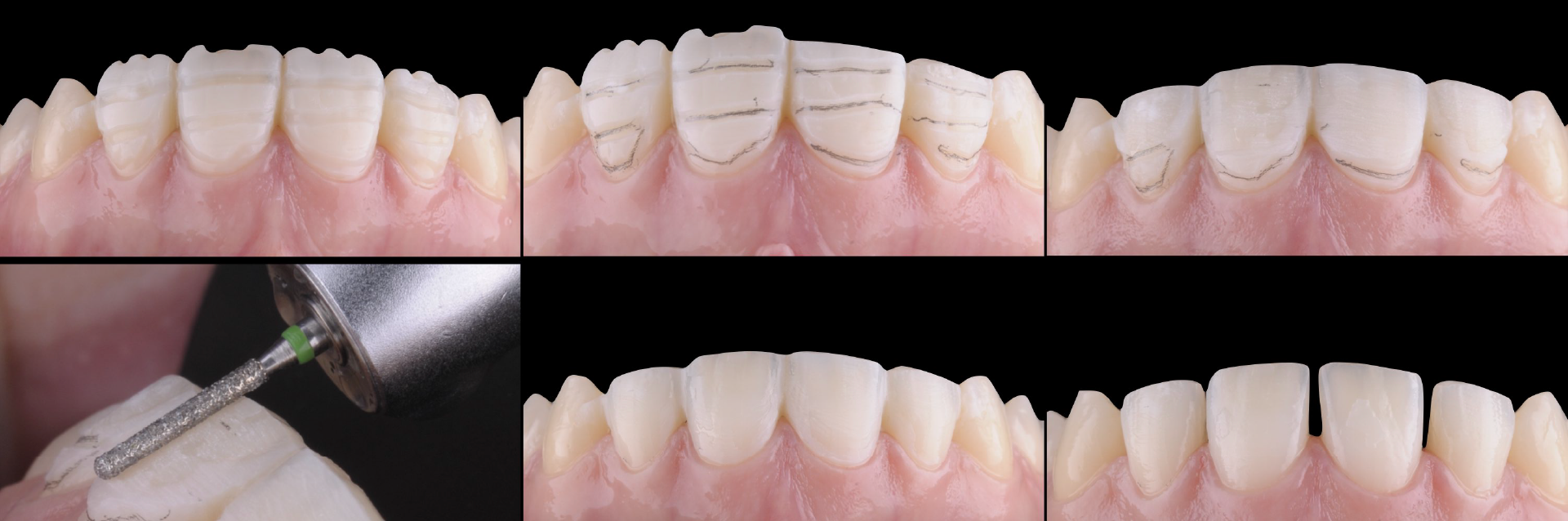
- Tipuri de preparații pentru fațete dentare în zona frontală
- Analogic vs digital: avantaje, limite și integrare clinică
Ziua 2 - Hands-on intensiv
O zi 100% practică, în care vei exersa pe modele toate etapele esențiale ale tratamentului cu fațete dentare. Accentul este pus pe preparare ghidată, controlul reducerii și realizarea corectă a provizoriilor, în situații reale din cabinet.
Cazuri exersate:
- Transferul intraoral al wax-up-ului cu ajutorul cheii de silicon
- Realizarea cheilor de silicon pentru verificarea preparațiilor
- Preparații ghidate pentru fațete dentare în sectorul anterior
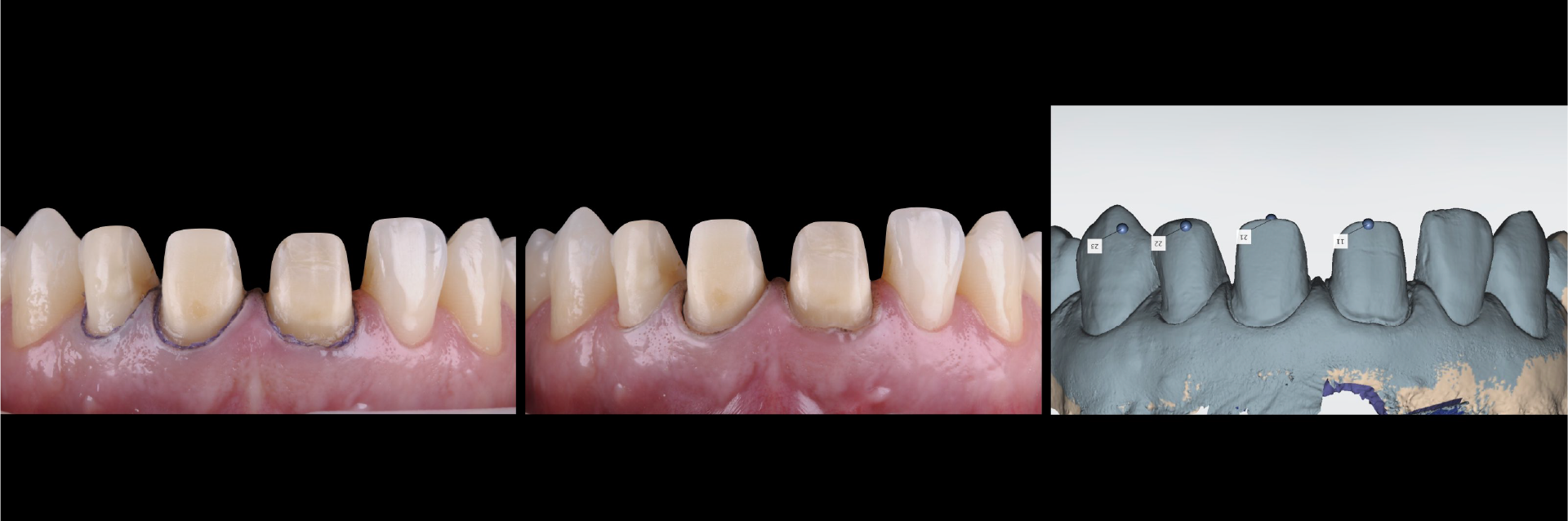
- Scanarea preparațiilor și verificarea detaliilor critice
- Realizarea provizoriilor funcționale și estetice
- Controlul final al preparațiilor și integrarea etapelor în fluxul clinic
Se oferă certificat de participare.
Descriere tehnică (ce se învață, pe ce echipamente / metode / cazuri):
Participanții învață să realizeze tratamente cu fațete dentare utilizând un workflow complet, de la selecția cazurilor și planificarea tratamentului, până la preparare ghidată, provizorii și integrarea fluxului digital în practica clinică.
Se lucrează atât în abordare analogică, cât și digitală, folosind wax-up, mock-up, chei de silicon, scannere intraorale și materiale dedicate pentru realizarea provizoriilor. Sunt explicate și aplicate diferite tipuri de preparații pentru fațete dentare, adaptate indicației clinice și situației funcționale.
Cursul acoperă întregul proces de tratament: de la analiza estetică și funcțională, alegerea materialelor ceramice și controlul reducerii, până la obținerea unui rezultat estetic natural, funcțional și reproductibil, cu stabilitate pe termen lung.
Studii de caz / rezultate vizibile:
Cursul include demonstrații clinice live, cu prezentarea completă a etapelor de tratament și captură foto/video, pentru o înțelegere clară a deciziilor clinice și a fluxului de lucru.
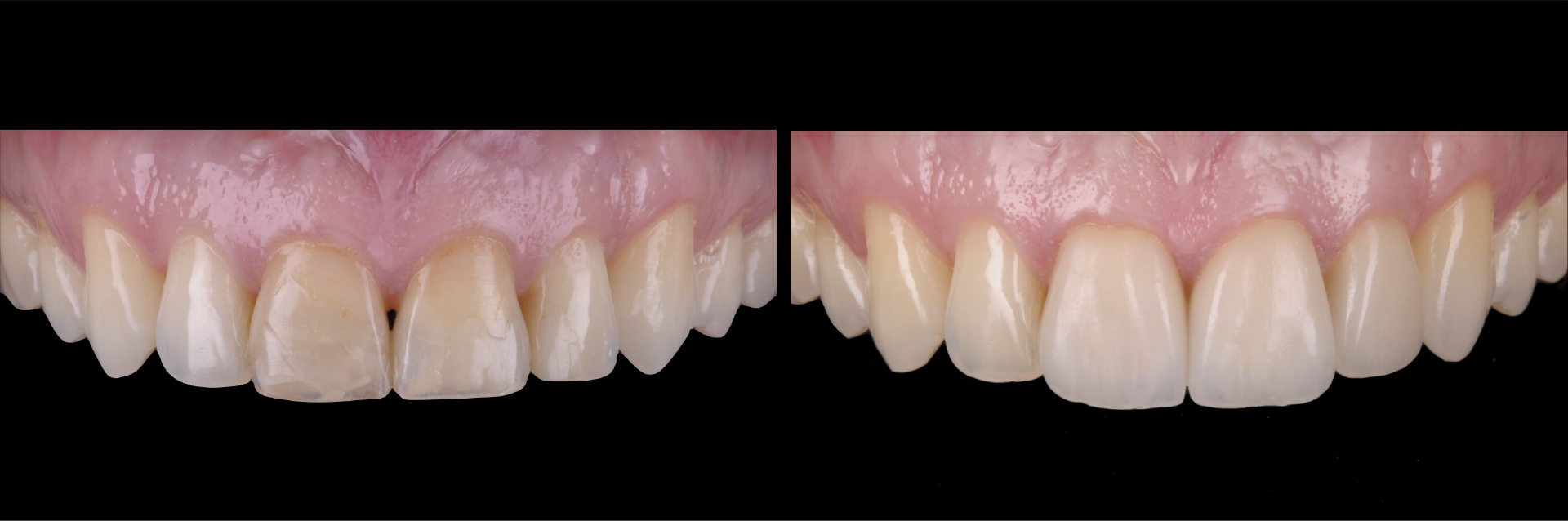
Sunt ilustrate exemple concrete de tratamente cu fațete dentare, cu imagini before/after, wax-up și mock-up-uri explicate și motivate clinic, astfel încât participanții să poată corela fiecare etapă cu rezultatul final obținut.
Analog




Digital






Testimoniale
Dr. Ionuț Brânzan
Dr. Ionuț Brânzan este medic stomatolog cu experiență clinică extinsă în estetica dentară și restaurările protetice cu sprijin dentar și implantar. Activitatea sa profesională îmbină practica clinică de zi cu zi cu educația medicală continuă, având un focus constant pe tratamente estetice predictibile, funcționale și corect planificate.
Experiență relevantă:
- Practică clinică dedicată esteticii dentare și restaurărilor protetice
- Lector și speaker internațional în cadrul unor societăți de prestigiu (APS, AIOP, ESCD, BAAD, GAK, EDAD)
- Fondator al platformei educaționale Learning by Doing
- Autor și co-autor de articole și cărți de specialitate în estetica dentară
- Membru activ al European Society of Cosmetic Dentistry (ESCD)
- Câștigător al premiului “Excellence in Prosthodontics”, AIOP / APS
De ce merită să participi la acest curs?
Fațetele dentare nu mai sunt despre „ce poți face”, ci despre cum planifici și execuți tratamentul, clar, estetic și reproductibil.
Înveți exact ce ai nevoie pentru a face față cazurilor reale din cabinet: selecția corectă a indicației, preparare ghidată, integrarea fluxului digital, provizorii stabile și ajustări ocluzale corecte. Totul într-un format aplicat, explicat pas cu pas, de un expert care practică ceea ce predă.
Ce riști dacă nu participi la acest curs:
- Să continui cu tratamente insuficient planificate, care generează ajustări inutile și rezultate inconstante.
- Să pierzi cazuri valoroase din lipsă de claritate estetică și încredere în planul tău de tratament.
- Să fii depășit de colegi care folosesc fațetele ca un instrument predictibil, nu doar estetic.
- Să rămâi blocat în soluții limitate, fără protocoale clare de preparare, provizorii și control funcțional.
- Să nu poți răspunde așteptărilor tot mai mari ale pacienților care cer rezultate impecabile, nu doar acceptabile.
Când tehnologia și tehnica avansează, stagnarea înseamnă pierdere de timp, de cazuri și de încredere.
De ce să te înscrii acum?
- Pentru că locurile sunt limitate, iar formatul restrâns asigură ghidare directă și feedback aplicat.
- Pentru că vei învăța tehnici pe care le poți aplica imediat, fără să pierzi timp testând „după ureche”.
- Pentru că pacienții vor rezultate rapide, stabile și estetice, iar tu vei ști exact cum să le oferi.
- Pentru că investiția în acest curs se recuperează rapid, dintr-un singur caz tratat corect.
- Pentru că este momentul să ieși din rutina „merge și așa” și să treci la un nivel clinic superior, susținut de metode clare și rezultate reale.
Cui i se potrivește acest curs?
Medicilor stomatologi care realizează tratamente cu fațete dentare și își doresc rezultate estetice mai bune, mai controlate și mai predictibile, în practica de zi cu zi.
Celor care vor să înțeleagă și să aplice corect selecția cazurilor, planificarea tratamentului și execuția clinică a fațetelor dentare.
Medicilor care tratează cazuri complexe (dinți închiși la culoare, uzuri, bruxism) și au nevoie de protocoale clare, reproductibile și sigure.
Profesioniștilor care vor să integreze fluxul digital (wax-up, mock-up, scanare) pentru o planificare estetică mai eficientă și o comunicare mai bună cu pacientul și laboratorul.
Celor care își doresc un upgrade real al tehnicii, aplicabil imediat în cabinet, sub ghidajul unui expert cu experiență clinică și educațională internațională.
Nu este cursul potrivit dacă:
Cauți doar informații teoretice, fără aplicabilitate practică imediată în cabinet.
Nu intenționezi să realizezi tratamente cu fațete dentare sau să aplici tehnicile prezentate în curs.
Nu ești dispus(ă) să exersezi practica hands-on și să urmezi protocoalele clinice explicate.
Consideri că o restaurare estetică este suficient „să țină”, fără a urmări un rezultat estetic și funcțional impecabil.
Nu te interesează planificarea tratamentului și integrarea fluxului digital în practica ta.
Nu mai amâna evoluția ta profesională
Dacă ai ajuns până aici, probabil știi deja că vrei mai mult de la tratamentele tale cu fațete dentare. Poate ai simțit frustrarea atunci când un caz nu a ieșit așa cum ți-ai imaginat. Sau când pacientul nu înțelege de ce planul tău de tratament merită, pentru că nu poate vedea clar diferența. Poate vezi colegi care prezintă rezultate curate, stabile, cu fațete care arată natural, și te întrebi ce fac diferit.
Răspunsul nu stă în talent artistic sau în materiale mai scumpe. Ai nevoie de structură, decizii corecte și protocoale clare, exact ceea ce primești la acest curs. Majoritatea participanților vin cu nesiguranțe legate de indicație, preparare sau fluxul de lucru. Pleacă cu o viziune clară, tratamente predictibile și încredere în fiecare etapă, de la planificare până la finalizare. Investiția în acest curs se poate recupera rapid, dintr-un singur caz corect planificat și acceptat de pacient.
Și mai câștigi:
- timp mai bine gestionat în cabinet
- pacienți care înțeleg mai ușor planul de tratament și îl acceptă
- rezultate care se mențin estetic și funcțional în timp
- siguranță în abordarea cazurilor dificile
- control în fiecare etapă a tratamentului, de la planificare la execuție
Nu lăsa soluțiile „aproape bune” să devină standardul tău.
Rezervă-ți locul și transformă tratamentele cu fațete dentare într-un instrument care te diferențiază cu adevărat.
Întrebări frecvente
1. Cursul este potrivit și pentru medicii fără experiență avansată în fațete dentare?
Da. Cursul este structurat progresiv, începând cu principiile de selecție a cazurilor și planificare, apoi avansând către preparații ghidate și execuție clinică. Este potrivit atât pentru medici care se află la început în zona fațetelor dentare, cât și pentru cei care doresc să își rafineze și structureze mai bine tehnica.
2. Trebuie să vin cu echipamentele proprii pentru partea hands-on?
Nu este obligatoriu. Materialele și echipamentele necesare pentru partea practică vor fi puse la dispoziție de către organizatori. Dacă dorești, poți aduce propriul kit de preparații sau instrumentar pentru confort personal.
3. Voi învăța să lucrez și în cazuri dificile, cum ar fi dinți închiși la culoare, uzuri sau bruxism?
Da. Cursul include abordarea cazurilor complexe, precum dinți închiși la culoare, uzuri dentare și bruxism. Vei învăța protocoale clare de indicație, preparare și control funcțional, explicate pas cu pas.
4. Se oferă certificat de participare?
Da. Fiecare participant va primi un certificat nominal de participare.
5. Se lucrează și cu flux digital (wax-up, mock-up, scanare)?
Da. În cadrul cursului sunt prezentate și aplicate etape de planificare digitală, inclusiv utilizarea wax-up-ului, mock-up-ului și scanării, explicându-se clar când și cum se integrează fluxul digital în tratamentul cu fațete dentare.
6. Masa este inclusă în prețul cursului?
Da. Pauza de prânz și coffee break-urile sunt incluse în taxa de participare, pentru ambele zile.
Cursul se desfășoară la Centrul Dental Simulation, București, un spațiu modern, special creat pentru traininguri stomatologice hands-on, complet echipat pentru o experiență educațională de top.




Rezervă locul acum!
Locuri limitate – participare în grup restrâns
Consultă modalitățile de plată completând formularul.
Încă te mai gândești sau ai nevoie de mai multe detalii?
Lasă-ne datele tale, iar unul dintre colegii noștri va lua legătura cu tine.